Dynamika procesu zamykania światła kanałów korzeniowych (PCO) oraz nowoczesne protokoły zabiegowe w obliteracjach z zastosowaniem laserów erbowych
Spis treści:
Zamykanie światła kanału korzeniowego (ang. Pulp Canal Obliteration, PCO), potocznie zwane obliteracją, to proces polegający na przyspieszonym i niekontrolowanym odkładaniu się zmineralizowanej tkanki twardej wewnątrz komory i kanałów zęba (1). W literaturze zjawisko to klasyfikuje się jako wapnienie miazgi lub formowanie się zębiny trzeciorzędowej (2). Z punktu widzenia endodoncji, ząb z obliteracją stanowi jedno z najtrudniejszych wyzwań, wymagające skrupulatnego planowania w celu uniknięcia powikłań, takich jak perforacja korzenia czy nadmierne osłabienie struktury zęba (3).
Kierunki rozwoju obliteracji i rola zębiniaków
Proces zamykania światła kanału nie przebiega chaotycznie. Badania histologiczne wskazują na charakterystyczną sekwencję depozycji tkanki (4):
- Kierunek dośrodkowy i koronowo-apikalny: Zębina jest odkładana od ścian do wnętrza oraz od korony w stronę wierzchołka. Choć komora zęba może ulec niemal całkowitemu zamknięciu, okolica przywierzchołkowa często pozostaje drożna, co jest kluczowe dla zachowania zdrowia tkanek (5),
- Formowanie zębiniaków: Równolegle w samej miazdze tworzą się zmineralizowane struktury – zębiniaki (6). Mogą one występować jako formy wolne, przytwierdzone lub wrośnięte w zębinę ścian kanału. Stanowią one fizyczną barierę dla narzędzi endodontycznych, utrudniając lokalizację i negocjację właściwego światła kanału (7).
Diagnostyka CBCT i precyzyjne planowanie dostępu
Wykorzystanie tomografii komputerowej wiązki stożkowej (CBCT) o wysokiej rozdzielczości (small FOV) stało się standardem w takich przypadkach (8). Pozwala ona na:
- Prawidłowe zaplanowanie dostępu: Precyzyjne wyznaczenie toru pracy wiertła na podstawie pomiarów trójwymiarowych,
- Oszczędność tkanek: Dzięki diagnostyce 3D lekarz może wykonać dostęp celowany, unikając nadmiernej utraty zdrowej zębiny, co bezpośrednio wpływa na długoczasowe rokowanie dla zęba (9).
Przełom w opracowaniu: Lasery z rodziny erbowej (2780 nm i 2940 nm)
W radzeniu sobie z problemem zobliterowanych kanałów i twardych zębiniaków niezwykle przydatnym narzędziem jest laser o długości fali 2780 nm (Er,Cr:YSGG) oraz 2940 nm (Er:YAG) (10). Lasery te, dzięki wysokiemu powinowactwu do wody i hydroksyapatytu, pozwalają na niezwykle precyzyjną, a zarazem mało inwazyjną ablację tkanek zmineralizowanych (11). Zastosowanie lasera o długości fali 2780 nm umożliwia selektywne usuwanie zębiniaków oraz zębiny obliteracyjnej bez ryzyka przegrzania tkanek, co jest częstym problemem przy pracy tradycyjnymi instrumentarium (12). Wysoka energia impulsu pozwala na skuteczne usuwanie zmineralizowanych przeszkód, otwierając drogę dla narzędzi endodontycznych.
Synergia lasera i ciągłej chelacji
Kluczowym elementem nowoczesnego protokołu jest połączenie pracy laserów erbowych z technikami ciągłej chelacji (ang. continuous chelation) (13). Zastosowanie odpowiednich środków chelatujących (np. roztworów EDTA lub kwasu cytrynowego) w trakcie opracowywania kanału przy wsparciu energii lasera radykalnie skraca czas i zwiększa efektywność zabiegu (14).
Energia lasera powoduje zjawisko kawitacji i silne wzbudzenie płynu płuczącego, co pozwala na szybsze zmiękczanie zmineralizowanej tkanki i efektywne usuwanie warstwy mazistej (15). Taka synergia pozwala na bezpieczne i sprawne przejście przez odcinki objęte obliteracją, co jest przełomem w leczeniu endodontycznym trudnych przypadków klinicznych.
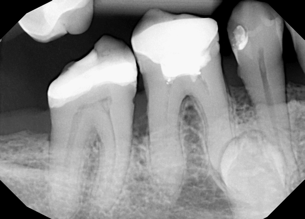
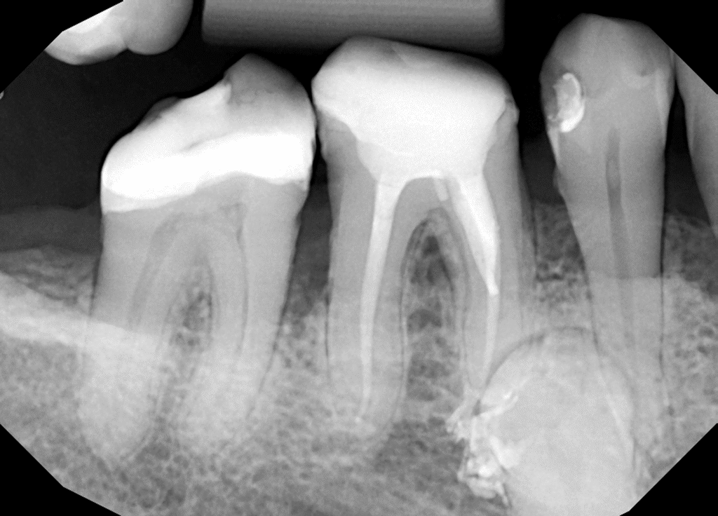
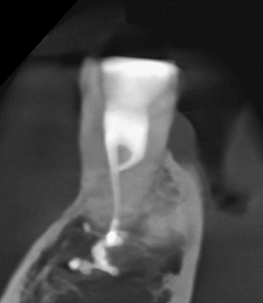
Opis przypadku
Pacjentka lat 54 trafiła do mojej kliniki skierowana z innego gabinetu celem leczenia endodontycznego zęba 46. W badaniu stwierdziłem znaczny zanik światła kanału korzeniowego. W badaniu tomograficznym stwierdziłem całkowity zanik kanału korzeniowego w strefie mezjalnej. Korzeń dystalny mimo widocznego światła kanału na CBCT, widoczne było wiele zwapnień w środkowej części kanału. Po wykonaniu dostępu endodontycznego zlokalizowałem materiał wypełniający kanał pozostawiony po poprzednim nieskutecznym leczeniu endodontycznym. Do usunięcia wykorzystałem laser 2780nm (25mJ/puls). W kolejnych etapach instrumentacji wspomaganie ultradźwiękami oczyściłem strefy mezjalną i dystalną. Instrumentacja themo-
mechaniczna polegała na zastosowaniu protokołu ciągłej chelacji wraz z użyciem lasera
2780nm z końcówką płaską (50mJ/puls) celem udrożnienia przestrzeni endodontycznych. Po wstępnym uzyskaniu drożności zastosowałem instrumentację maszynową wspomagająco celem udrożnienia przestrzeni. Finalnie obturacja z zastosowaniem ćwieków gutaperkowych kalibrowanych na WL i uszczelniacza na bazie krzemianów wapnia. W przeciwieństwie do tradycyjnych uszczelniaczy, nie wymaga mieszania, co eliminuje błędy w proporcjach i zapewnia powtarzalną konsystencję. Jest materiałem wysoce biokompatybilnym i bioaktywnym. Finalnie zamknięto ząb odbudową kompozytową tymczasową i skierowano na dalsze leczenie protetyczne do gabinetu kierującego pacjenta.
Podsumowanie i analiza rentowności technologii laserowej
Procesy obliteracyjne nie muszą już oznaczać niepowodzenia terapeutycznego. Wykorzystanie laserów erbowych pozwala na bezpieczną i przewidywalną negocjację kanałów uznawanych dotychczas za niedrożne. Choć koszt zakupu systemów laserowych klasy Er,Cr:YSGG jest pozornie wysoki, analiza długofalowa wykazuje jego szybką rentowność. Skrócenie czasu pracy przy fotelu oraz wzrost skuteczności leczenia bezpośrednio przekłada się na wyższą zyskowność kliniki.
Nowe perspektywy rozwoju ośrodków referencyjnych
Posiadanie zaawansowanego instrumentarium otwiera przed lekarzem zupełnie inne drogi w endodoncji i szerszy zakres działań. Możliwość skutecznego leczenia trudnych przypadków buduje prestiż gabinetu jako ośrodka referencyjnego. Inwestycja w technologie takie jak lasery erbowe redefiniuje standardy opieki, zapewniając pacjentom bezpieczeństwo i trwałość efektów leczenia, które wcześniej pozostawały poza zasięgiem tradycyjnych metod.



























Bibliografia
- Andreasen FM, Zhijie Y, Thomsen BL, Andersen PK. Occurrence of pulp canal obliteration after luxation injuries in the permanent dentition. Endod Dent Traumatol. 1987;3(3):103-15.
- Ricucci D, Siqueira JF Jr. Fate of the tissue in post-traumatic root canal obliteration: a case report. J Endod. 2011;37(12):1689-97.
- McCabe PS, Dummer PM. Pulp canal obliteration: an endodontic diagnosis and treatment challenge. Int Endod J. 2012;45(2):177-97.
- Lundberg M, Cvek M. A light microscopy study of pulpal response to traumatic injuries. Scand J Dent Res. 1980;88(2):122-31.
- Fleig S, Attin T, Wiedemeier DB, Tauböck TT. Calcific metamorphosis: a review. Swiss Dent J. 2021;131(11):903-12.
- Goga R, Chandler NP, Oginni AO. Pulp stones: a review. Int Endod J.
2008;41(6):457-68.
- Sener S, Bozdemir E, Kişnişci RS. Pulp stones: a review of etiology, prevalence and clinical implications. Int Dent Res. 2012;2(1):18-24.
- Patel S, Brown J, Pimentel T, Kelly SA, Abella F, Durack C. Cone beam computed tomography in Endodontics – a review. Int Endod J. 2019;52(1):9-26.
- Krastl G, Zehnder MS, Connert T, Weiger R, Kühl S. Guided Endodontics: a novel clinical approach for the treatment of teeth with pulp canal obliteration and apical periodontitis. Dent Traumatol. 2016;32(3):240-6.
- Olivi G, De Moor RJ, DiVito E. Lasers in Endodontics: Scientific Background and Clinical Applications. Berlin: Springer; 2016.
- Coluzzi DJ. Fundamentals of dental lasers: science and instruments. Dent Clin North Am. 2004;48(4):751-70.
- DiVito E, Peters OA, Olivi G. Effectiveness of the Erbium:YAG laser and new design radial firing tip in removing the smear layer after root canal instrumentation. Lasers Med Sci. 2012;27(2):273-80.
- Zehnder M. Root canal irrigants. J Endod. 2006;32(5):389-98.
- Neelakantan P, Augustus R, Bhuva B, McDonald NJ. Continuous chelation: a review of its role in endodontic irrigation. Int Endod J. 2023;56(1):14-28.
- Blanken J, De Moor RJ, Meire M, Verdaasdonk R. Laser induced explosive vapor bubbles and cavitation in confined channels: micro-PIV analysis of fluid dynamics in a root canal model. Lasers Surg Med. 2009;41(7):509-16.